آخرینهای حوادث
-
واکنش تازه به ماجرای کشف جسد در سد کرج
مسئولان استان البرز شایعه کشف ۷۴ جسد در سد کرج را بیاساس دانستند و اعلام کردند هیچ موردی از…
-
حبس ۱۰ ساعته مسافران قطار تهران - بندرعباس؛ ماجرا چه بود؟
درحالی قطار شماره ۸۲۰ شرکت قطارهای جوپار در مسیر تهران-بندرعباس از ساعت ۴ صبح امروز در ایستگاه…
-
جان باختن بیش از ۸ هزار نفر در تصادفات جادهای از ابتدای سال
جانشین فرمانده کل انتظامی کشور گفت: در هفت ماهه امسال بیش از هشت هزار نفر در تصادفات جاده…
-
ماجرای جذب «مدل خانم» در آگهیها؛ شیادان دام پهن کردهاند
رئیس اداره اجتماعی پلیس آگاهی فراجا به شهروندان هشدار داد که پیشنهاد درآمد بالا در آگهیها…
-
دستگیری زنی که با کمک مرد افغان، یکی از اعضای خانوادهاش را کشت
زن و مرد تبعه افغان پس از ارتکاب قتل یکی از اعضای خانواده در پیشوا، توسط پلیس بازداشت شدند.
-
قتل شوهر توسط بلاگر مشهدی و همدست دانشجو
این حادثه هولناک و دلهره آور در بیست وپنجم اسفند سال۴۰۱ هنگامی لو رفت که امداد گران آتش نشانی…
-
هشدار پلیس فتا درباره بدافزار عکس یادگاری با هوش مصنوعی؛ خطر سرقت اطلاعات کاربران
پلیس فتا اعلام کرد: برنامهای با عنوان «عکس یادگاری با هوش مصنوعی» در واقع بدافزاری بانکی است…
-
درگیری و ضربوشتم امدادگران اورژانس در قزوین در بازگشت از مأموریت
رئیس اورژانس پیشبیمارستانی استان قزوین از ضربوشتم کارشناسان اورژانس و آسیب به آمبولانس هنگام…
-
تکذیب ادعای کشف ۷۴ جسد در سد کرج
صبح امروز برخی رسانهها خبری درخصوص کشف ۷۴ جسد بهدنبال پایینرفتن سطح آب سد کرج منتشر کردند.
-
حکم اعدام ۳ نفر در ارومیه اجرا شد
رئیس کل دادگستری آذربایجان غربی از اجرای حکم اعدام سه نفر از اعضای باند قاچاق مواد مخدر در…
-
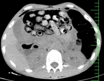
خروج ۹۰ بسته مواد مخدر از معده و روده یک بیمار +عکس
دانشگاه علوم پزشکی البرز از خارج کردن ۹۰ بسته مواد مخدر از معده و روده یک بیمار در کرج خبر…
-
خیانت زن جوان زیر سایه بیمهری شوهر
مردی که به خیانت همسرش پی برده است، داستان زندگیاش را تعریف کرد.
-
جزئیات جدید از قتل فجیع مبینا زراع توسط همسر سابقش
شوهر سابق مبینا زارع وقتی نتوانست زن را به ازدواج دوباره راضی کند، در جنایتی هولناک او را…
-
بازداشت نامادری به دلیل مرگ پسر دو ساله با شربت متادون
دستور بازداشت نامادری کودک دو سالهای از سوی بازپرس جنایی صادر شد که پزشکی قانونی مرگ او را…
-
سن مسمومیت الکلی به دانشآموزان رسید!
رئیس بیمارستان لقمان حکیم گفت: ۵۰ درصد مرگ و میر ناشی از مسمومیتهای دارویی مربوط به قرص برنج…
-
سرقت وحشیانه موبایل چند بچه با ساطور در مشهد!
جوانی مسلح به ساطور، به محض نزدیک شدن به چند کودک که گوشی تلفن همراه داشتند، حمله کرده و به…
-
جزئیات جدیدی از قتل پدر توسط پسر ۱۲ ساله در اهر
متهم قبلا نیز با پدرش درگیر شده و مقتول پس از درگیری حالش بد و به بیمارستان منتقل میشود.…
-
تایید خبر عرضه گوشت الاغ در یک رستوران جادهای؛ متخلفان دستگیر شدند +عکس
عوامل رستورانی که در جاده قزوین - رشت از گوشت الاغ استفاده میکرد دستگیر شدند.
-
۶۳۰ نفر در تهران بازداشت شدند
فرمانده انتظامی غرب استان تهران از بازداشت دستکم ۶۳۰ نفر در یک عملیات گسترده علیه آنچه «اراذل…
-
تحقیقات جنایی برای رازگشایی از قتل فجیع شکارچی کوهستان
با کشف جسد «شکارچی کوهستان» در زیر خاک های مسیر صعب العبور کوه های منطقه تبادکان مشهد، راز…
-
دیدن این خبر آزار دهنده است؛ فوت دردناک یک کودک ۴ساله در پی آزار و اذیت
ساعت سه صبح ۱۲ آبان ماه جاری، یک کودک ۴ ساله به نام «امیرعباس رونما» در حالی به بیمارستانی…
-
شلیک مرگبار به همسر سابق، مرد کینهجو را پای میز محاکمه کشاند
مرد کینهجویی که پس از قتل همسر سابق خود، فراری پرماجرا و زندگی پنهان با هویت جعلی را تجربه…
-
اجرای حکم اعدام قاتلی که با همسر دوستش رابطه داشت
موتورسوار سیاه پوشی که در یک ماجرای خیانت آلود، دوستش را برای رسیدن به همسر وی کشته بود، سپیده…
-
کلاهبرداری ۵ هزار میلیاردی به بهانه سرمایهگذاری در بازار طلا
فرمانده انتظامی استان یزد از دستگیری متهمی که دست به کلاهبرداری به ارزش پنج هزار میلیارد ریالی…
-
زمینلرزه نسبتا شدید تنب بزرگ را لرزاند
زلزلهای نسبتا شدید جزایر ایرانی خلیج فارس در استان هرمزگان را لرزاند.
-
برخورد ۳ سرویس مدرسه در جنوبغرب تهران
صبح امروز در سبزدشت، واقع در جنوبغرب استان تهران، سه دستگاه خودرو حامل دانشآموزان دچار حادثه…
-
همدست قاتل فراری: به خاطر هیچ، آدم کشتیم
یکی از مهاجمان به سروش ستوده، مربی ۲۹ساله بدنسازی که در بین شاگردانش به «مربی اخلاق» مشهور…
-
شکایت زن ۲۸ ساله به خاطر ازدواج شوهرش با پیرزن همسایه!
هنوز هم نمی توانم این ماجرای تلخ را باور کنم. من همواره پیرزن همسایه را به اندازه مادرم دوست…
-
مقصر مرگ چهار دانشآموز فوت شده کیست؟
خبر مرگ چهار دانشآموز در زنجان، شیراز، مشهد و ایلام طی یکماه آغازین سال تحصیلی جدید، زنگ خطر…
-
یک راننده بیاحتیاط جان چهار پاکبان را گرفت
معاون اداره ارزیابی عملکرد سازمان مدیریت پسماند شهر تهران جزییات حادثه تصادف یک پرشیا با خودروی…
-
زمینلرزه شدید در استان یزد تایید شد
زلزله ۴.۷ ریشتری در عمق ۹ کیلومتری زمین عصر امروز بهاباد در استان یزد را لرزاند.
-
معمای سرقتهای عقاب آلمان در ایران
مجرم سابقه دار معروف به عقاب که از نوجوانی در آلمان سرقت می کرد، پس از بازگشت به ایران، باند…
-
عملیات نجات دختر ۱۷ ساله از راه دور
دختر ۱۷ساله همدانی با راهنماییهای درست و بموقع پرستار اورژانس نجات پیدا کرد.
-
آمنه بهرامی؛ همچنان در تلاش برای دریافت دیه چشمانش/ اسیدپاش پیام داد: گفته بودم که بعد از آزادی هم دست ازسرتو برنمیدارم
آمنه بهرامی، قربانی اسیدپاشی که عامل این جنایت را بخشیده بود دیروز به اجرای احکام دادسرای…
-
قتلعام ۹نفر در زاهدان بر سر قاچاق سوخت
در جریان قاچاق سوخت ۹ نفر از دو طایفه در زاهدان به قتل رسیدند.
-
جزئیات تازه از کودکآزاری در بهزیستی کلاردشت
بهزیستی مازندران ضمن تایید مواردی از ضرب و شتم کودک معلول هفت ساله به نام «درسا» در کلاردشت…
-
واژگونی مینیبوس حامل دانشآموزان
واژگونی مینیبوس حامل دانشآموزان در نقده ۱۳ مصدوم را به بیمارستان فرستاد.
-
هشدار پلیس فتا: «فریب آگهیهای استخدام دولتی در دیوار و شیپور را نخورید»
پلیس فتا هشدار داد: آگهیهای استخدام دستگاههای دولتی در دیوار و شیپور جعلی و پرخطر است و میتواند…
-
ماجرای جنجالی آزار سیاه دختر معلول ۷ساله در مرکز توانبخشی
ششم مهرماه امسال درسا، دختر هفتساله بیسرپرست و دچار معلولیت ذهنی و جسمی که در مرکز توانبخشی…
-
قتل با شمشیر سامورایی در عبدلآباد
درگیری قدیمی در عبدلآباد به جنایتی خونین انجامید؛ جوانی با ضربه شمشیر سامورایی کشته شد و پلیس…